TERAZ -17°C
JAKOŚĆ POWIETRZA Bardzo dobra
reklama NaturoBank - Blisko Ciebie

N

Nowoczesne leczenie ortodontyczne - jak to wygląda?

wt., 26 kwietnia 2016 06:44
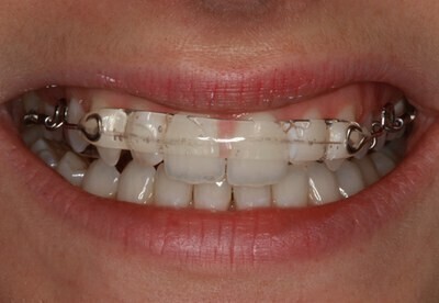
Leczenie wad zgryzu to - dla wielu osób - batalia o piękny uśmiech i pozbycie się kompleksów. Dotychczas stosowane aparaty były dla niektórych pacjentów znacznym ograniczeniem, które na kilkadziesiąt długich miesięcy pozbawiały ich swobody uśmiechu i pewności siebie. Pojawienie się nowoczesnych metod leczenia – Nuvola czy Inman Aligner – całkowicie zrewolucjonizowało metodykę leczenia wad uzębienia, skracając jego czas do zaledwie kilku tygodni.
Nowoczesne leczenie ortodontyczne - jak to wygląda

Klasyczne leczenie ortodontyczne wymaga długiego czasu, by móc cieszyć się prawidłowym zgryzem i prostą linią zębów. Dodatkowo, mocowanie licówek czy koron protetycznych mających na celu poprawne ustawienie zębów wymagało niejednokrotnie częściowego usunięcia tkanek zęba. Metoda Nuvola czy Inman Aligner to pożegnanie ze standardowym leczeniem, wyeliminowanie nieprzyjemnych części tradycyjnej j terapii i osiągnięcie perfekcyjnego efektu w błyskawicznym czasie.

Czym wyróżnia się Inman Aligner i Nuvola?

Innowacyjne podejście do leczenia wad zgryzu i korygowania zębów do prawidłowego łuku eliminuje wszystkie niedogodności związane z dotychczas stosowanym leczeniem. Sekretem Inman Aligner jest specjalistyczny, zdejmowany aparat, który skutecznie przesuwa zęby i ustawia je na właściwym miejscu. Dzięki aparatowi, w krótkim czasie nieprawidłowo położone zęby – nadmiernie wysunięte lub stłoczone – zostają wprowadzone do łuku.
Aparat działa na zasadzie wywierania delikatnego i stałego nacisku na zęby, dzięki czemu w całkowicie bezpieczny sposób można osiągnąć szybkie efekty. Atutem często podnoszonym przez zadowolonych pacjentów jest o wiele większa swoboda, która pozwala na wyciągnięcie aparatu i wyczyszczenie go, a także relatywnie niskie koszty w stosunku do czasu leczenia.

Skupiając się na zaletach nakładek Nuvola trzeba zaznaczyć, że dzięki temu, iż są one przezroczyste a tym samym praktycznie niezauważalne dla niewtajemniczonych osób. Innymi słowy, Nuvola rozwiązuje problem wstydu, jaki odczuwają pacjenci noszący standardowe aparaty. Brak metalowych elementów znajdujących się w jamie ustnej podnosi komfort użytkowania i eliminuje wszelkiego rodzaju urazy. Szacuje się, że średni czas leczenia nakładkami wynosi conajmniej 6 miesięcy.

Dla kogo te metody?

Korekcja wad zgryzu metodą Inman Alinger czy Nuvolą jest dedykowana osobom, które mają problem dotyczący przedniej części zębów, a konkretnie rzecz ujmując – górnych i dolnych siekaczy. Podstawowym i jednocześnie najważniejszym kryterium zakwalifikowania się do leczenia tymi metodami jest właśnie położenie zębów przeznaczonych do korekty. Inman Aligner pozwala na zastosowanie u osób, u których występuje stłoczenie zębów, nieprawidłowy zgryz – anterior cross bite, a także występowanie szpar do 2-3 mm.. Dodatkowo metoda ta jest stosowana jako uzupełnienie wcześniejszych terapii tradycyjnymi aparatami ortodontycznymi, gdy te nie spowodowały oczekiwanych efektów. Jeśli pacjent ma inną wadę niż wymienione, a problem lokalizuje się w innym miejscu niż siekacze, konieczne jest zastosowanie standardowych aparatów. Nuvola jest stosowana w przypadkach podobnych, również przy wadach w obrębie zębów przedtrzonowych. A zaletą główną jest wygoda użytkowania. 

Dyscyplina i współpraca

Metody wymagają spełnienia kilku dodatkowych warunków, bez których nie może być mowy o osiągnięciu pełnego efektu. Leczenie może przeprowadzić wyłącznie lekarz ortodonta, który uzyskał certyfikat do ich stosowania. Pacjent musi pamiętać, że aparat należy nosić przez większą część doby – od 20 do 21 godzin, pamiętając, o ściągnięciu go podczas higieny jamy ustnej, spożywania posiłków i picia napojów (poza niegazowaną wodą mineralną). Stosowanie się do zaleceń i regularne wizyty u specjalisty pozwalają na uzyskanie pięknego uśmiechu bez wielu wyrzeczeń.

Artykuł poleca CANDEO Clinic Poznań, organizator programu Dental Travel Poland

Reklama

Podsumowanie

    reklama
    reklama

    Dla Ciebie

    -17°C

    Pogoda

    Kontakt

    Radio